Pränatale Diagnostik
Gut informiert durch die Schwangerschaft.
Liebe werdende Eltern,
eine Schwangerschaft ist eine besondere Zeit voller Vorfreude, aber auch begleitet von Fragen rund um die Gesundheit und Entwicklung Ihres Kindes. Gern unterstützen wir Sie gemeinsam mit Ihrer Frauenärztin oder Ihrem Frauenarzt dabei, diese Zeit sicher und gut informiert zu gestalten – für den bestmöglichen Start ins Leben.
Mit diesen ergänzenden Untersuchungen erhalten Sie zusätzliche Einblicke in die Entwicklung Ihres Kindes.
1. Ultraschall-Untersuchungen
Ersttrimester-Screening: 12-13 SSW
In diesem detaillierten Ultraschall können wir neben der Nackentransparenz bereits die vollständig angelegten Organe Ihres Kindes untersuchen. So erhalten Sie schon früh einen bildlichen Eindruck der ersten Entwicklungsschritte.
Präeklampsie-Screening: 11-13 SSW
Die Präeklampsie ist eine häufige Bluthochdruckerkrankung, die im Rahmen von Schwangerschaft und Wochenbett auftritt. Mittels Ultraschall, Blutentnahme und Blutdruckmessung bestimmen wir Ihr individuelles Risiko. Bei erhöhter Wahrscheinlichkeit können wir eine Prophylaxe durchführen. Sie senkt das Risiko für die Präeklampsie und mögliche Komplikationen bei Ihnen und Ihrem Kind.
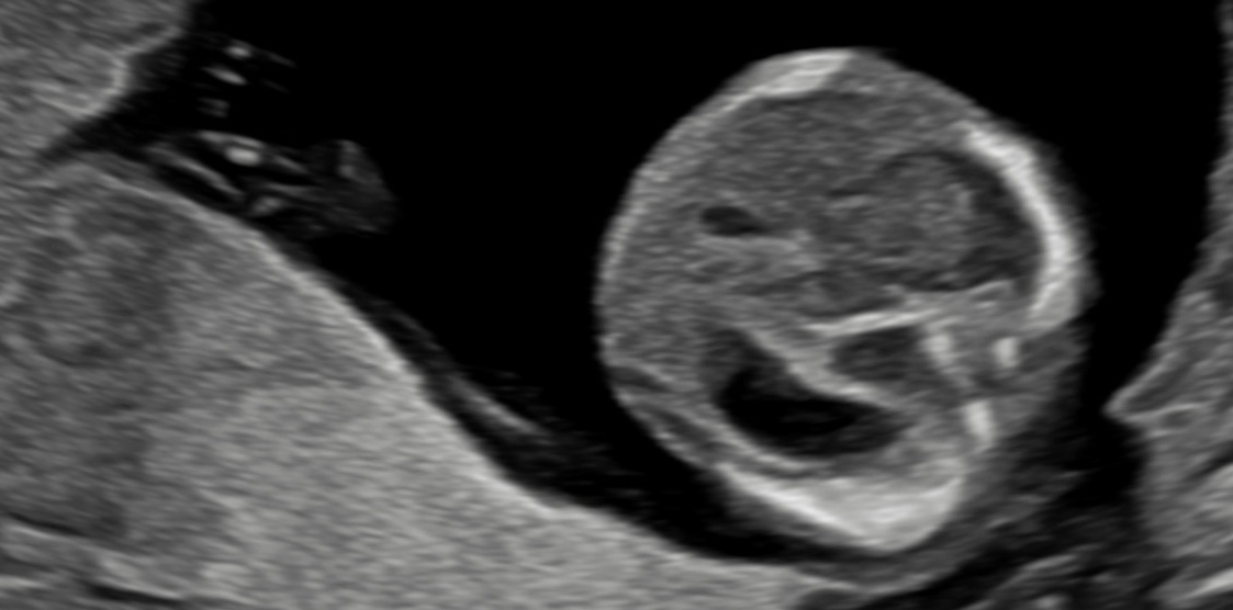
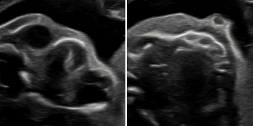
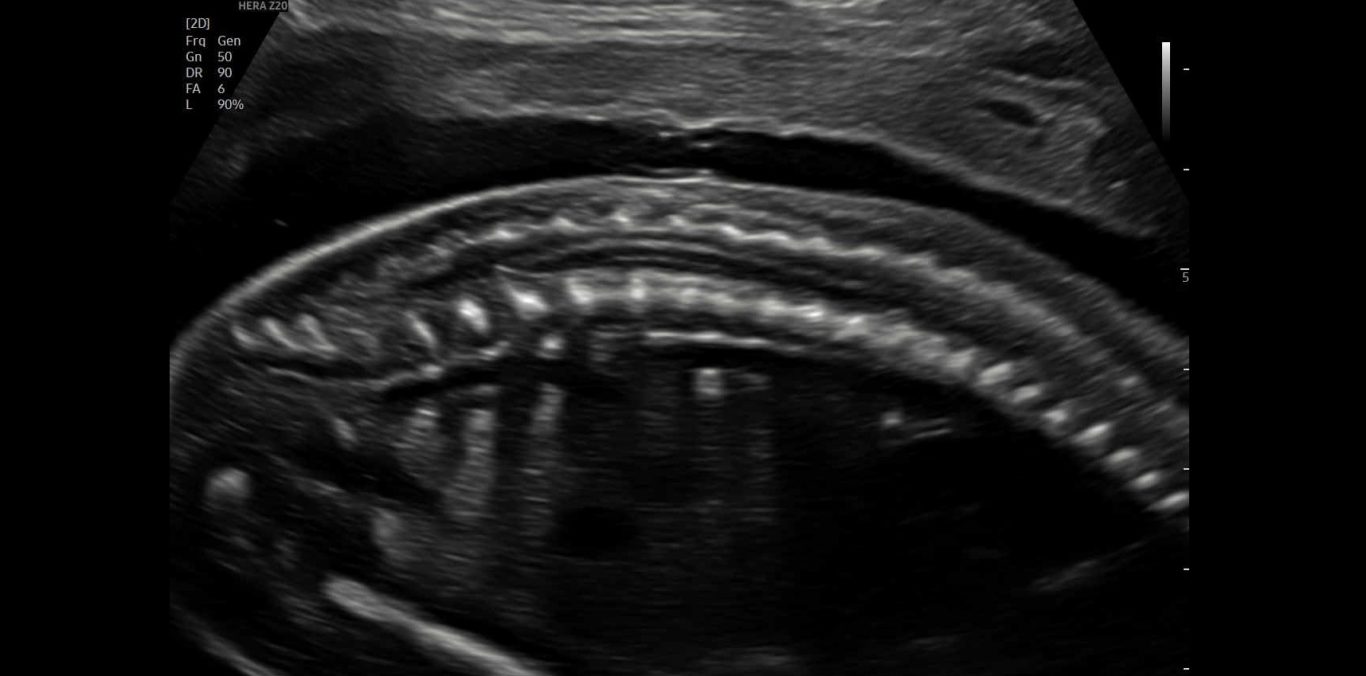
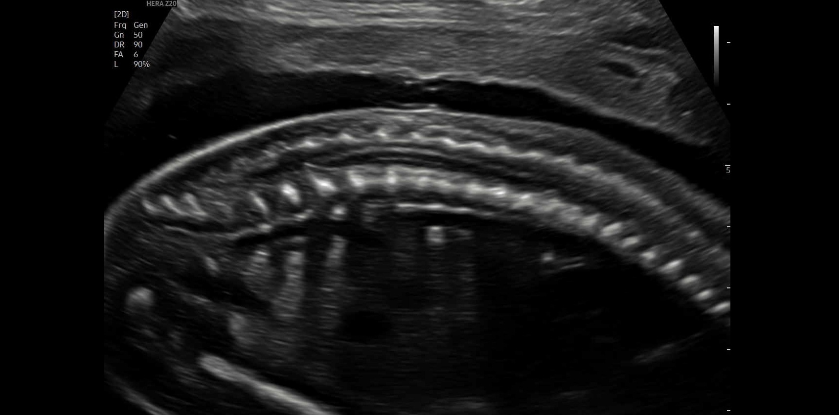
„Feindiagnostik“: 20-24 SSW
Wir schauen Ihr Kind im Ultraschall detailliert von Kopf bis Fuß an. Mit Fortschreiten der Schwangerschaft liegt der Fokus hier besonders auf der Entwicklung von Herz und Kopf Ihres Kindes. So können wir Besonderheiten frühzeitig erkennen, die Schwangerschaft optimal begleiten und die Geburt bestmöglich vorbereiten. In manchen Fällen ist eine Behandlung bereits während der Schwangerschaft möglich.
Je nach Fragestellung kann diese Untersuchung auch zu einem deutlich früheren oder späteren Zeitounkt sinnvoll sein.
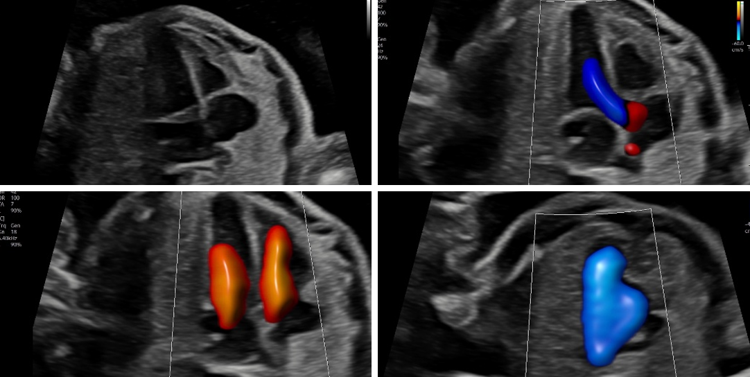
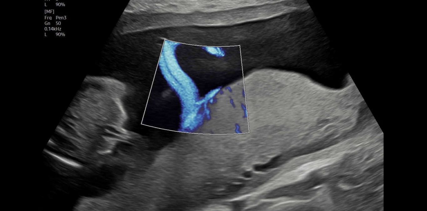
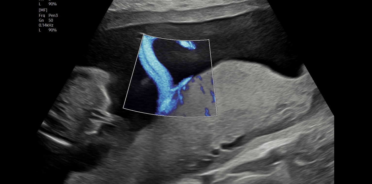
Doppler
Bei dieser Untersuchung messen wir die Durchblutung in der Nabelschnur und anderen Blutgefäßen, um die Versorgung Ihres Kindes zuverlässig einzuschätzen und zu überwachen. Je nach Fragestellung ist diese Untersuchung ab 11 SSW möglich.
Diagnostische Punktionen: ab 11 SSW
Unter Ultraschallkontrolle entnehmen wir eine Probe aus Mutterkuchen (Chorionzotten-Biopsie ab 11 SSW) oder Fruchtwasser (Amniozentese ab 15 SSW). Diese Verfahren sind risikoarm und ermöglichen je nach Situation eine genaue genetische Diagnostik oder Abklärung von Infektionen.
Nicht-invasiver Pränataltest (NIPT): ab 10 SSW
Durch die Analyse freier DNA aus dem mütterlichen Blut lassen sich bestimmte Merkmale der Schwangerschaft untersuchen.
Zum Ausschluss der Trisomie 21 (Down-Syndrom) ist der NIPT der zuverlässigste nicht-invasive Test.
2. Genetische Untersuchungen
Kontaktieren Sie uns hier für einen Termin zur Untersuchung oder ein persönliches Beratungsgespräch.











































